Servicios
Atención integral en odontología para todas las edades y especialidades con enfoque en la prevención.
Odontología General
Nos enfocamos en ofrecer servicios integrales para el cuidado y mantenimiento de tu salud bucal. Realizamos limpiezas dentales, diagnósticos de caries y enfermedades periodontales, además de tratamientos restaurativos como resinas y amalgamas. Promovemos la prevención como base para una sonrisa saludable y funcional.


Ortodoncia
Corregimos problemas de alineación dental, mordida cruzada, sobremordida y otros desajustes mediante tratamientos personalizados. Ofrecemos opciones como brackets tradicionales, estéticos y alineadores invisibles. Nuestro objetivo es proporcionarte una sonrisa armónica, mejorando tanto la estética como la función oral.
Los implantes dentales son la solución ideal para reemplazar dientes perdidos de forma permanente. Utilizamos materiales biocompatibles de alta calidad que se integran con el hueso, devolviendo la funcionalidad y la estética de tu sonrisa. Nuestro enfoque asegura resultados duraderos y naturales.
Implantes




Odontología cosmética
Restauramos dientes dañados o mejoramos la apariencia de tu sonrisa mediante coronas y carillas y procedimientos estéticos digitales. Utilizamos materiales de alta calidad que imitan la apariencia natural de los dientes, brindando resistencia y un acabado impecable.


Endodoncia
Conocido también como tratamiento de canales, este procedimiento elimina infecciones y salva dientes severamente dañados o con nervios afectados. Utilizamos técnicas avanzadas para aliviar el dolor y restaurar la funcionalidad de tus dientes de manera eficiente.
Diseñamos prótesis completas que sustituyen todos los dientes perdidos, mejorando la estética y funcionalidad de tu boca, o prótesis parciales removibles para pacientes que han perdido varios dientes. Nuestras prótesis son personalizadas para garantizar comodidad y un ajuste ideal.
Prótesis dental




Ortopedia
También conocida como ortodoncia preventiva. Corregimos problemas de crecimiento y desarrollo en los maxilares mediante aparatos funcionales. Este tratamiento está dirigido especialmente a niños y adolescentes, ayudando a mejorar la mordida y la estética facial a largo plazo, muchas veces evitando la necesidad posterior de usar ortodoncia.


Sobredentadura
Las sobredentaduras son una excelente opción para pacientes con pérdida total de dientes. Estas prótesis se fijan sobre implantes dentales, ofreciendo mayor estabilidad, comodidad y confianza al hablar y comer. Incluso ahora podemos realizarlas con implantes subperiósticos para pacientes que antes no se podían rehabilitar.
El blanqueamiento dental es un procedimiento estético no invasivo diseñado para aclarar el color de los dientes mediante la aplicación de agentes blanqueadores. Utilizamos sistemas de última generación que permiten obtener resultados visibles desde la primera sesión, reduciendo al mínimo la sensibilidad postoperatoria.
Blanqueamiento dental




Guardas oclusales
Son dispositivos acrílicos personalizados que se colocan sobre la arcada superior o inferior para prevenir el desgaste dentario causado por el bruxismo (rechinar de dientes) o para aliviar trastornos temporomandibulares (TTM). Se indican en pacientes que presentan signos de desgaste dental, dolor muscular, cefaleas tensionales o chasquidos articulares. En DentalMedic PeriSur fabricamos guardas rígidas o semirrígidas, según cada caso, mediante registros oclusales precisos y materiales biocompatibles de alta calidad, asegurando confort, ajuste y eficacia terapéutica.


Odontopediatría
En DentalMedic PeriSur abordamos de forma integral la atención infantil, desde la erupción de los dientes temporales hasta la transición a la dentición permanente, con un enfoque basado en la prevención. Ofrecemos técnicas de manejo conductual, sellantes de fosas y fisuras, restauraciones estéticas, pulpotomías, control de caries y asesoría en hábitos orales. Nuestro equipo trabaja en un ambiente amable y didáctico que fomenta la confianza y el cuidado bucal desde temprana edad.
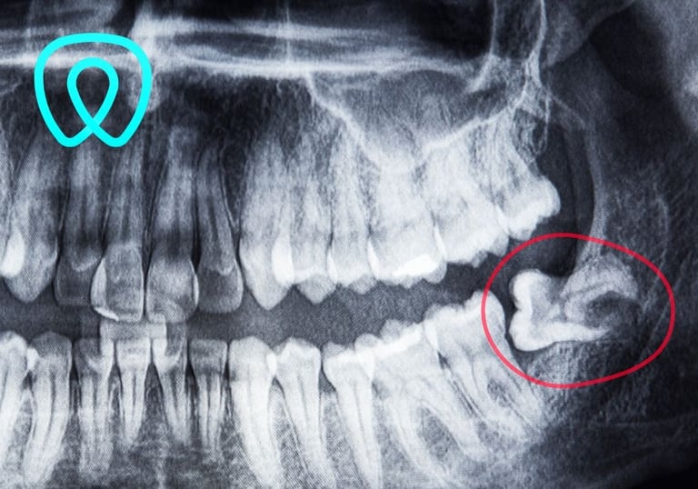
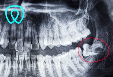
Realizamos procedimientos como extracciones quirúrgicas de terceros molares retenidos, regularización de rebordes óseos, fenestración de caninos, biopsias de lesiones orales, entre otros. Contamos con especialistas entrenados en técnicas mínimamente invasivas, anestesia local o sedación según el caso, y protocolos de bioseguridad rigurosos. Nuestro enfoque combina precisión clínica, control del dolor y una recuperación rápida para nuestros pacientes.
Cirugía maxilofacial




